当院も開院して、お陰様で20年目を迎えました。
これもこの地に医療の光を灯したいと願った私の気持ちに賛同してくださった善き患者さんと、スタッフの真剣な気持ちと、先祖の力のおかげだと思っています。
また、私にこの力を授けてくださった尊敬してやまない恩師・現日本消化器病学会学会長・理事長であり、自治医科大学 名誉教授 菅野健太郎教授(前自治医科大学消化器内科教授)に心から感謝いたします。
これからも私達はこの地で精一杯、良質な医療を提供すべく頑張っていこうと思っています。
開業3年目に書いたコラムをここに記します。
【心安らかなる人生】
当院が開設されるまで、この山深いふるさと、小野寺(旧小野寺村)には、医師がいなかった(江戸時代には医師がいたらしい)。
近年、地方に医師が不足して困っていると聞く。
田舎で医師として働くことにはリスクがあると言う知り合いの医者は多い。
地方を嫌う彼らは、教育環境や生活する上での利便性の悪さを理由に挙げることが多い。
確かに、私の息子が通っている小学校は1学年に4人しか生徒がいない。2学年がいっしょに授業を受ける複式学級である。
受験教育を行うのには確かにリスクがあるだろう。
また本屋に医学書を買いに行くのは、東京に住んでいた頃に比べるととても時間がかかる。
しかし、私はそれ以上のものがあると思うからここに帰ってきた。
ここには、先祖代々続く江田家があり、私という人間をつちかってくれた自然と人の輪があり、青春を過ごした故郷の、情の厚い人たちがいる。
幼い私の頭をいつもなでながら、「おまえは長男なんだから、ここに必ず戻ってきてみんなを治してあげるんだよ」と私に言い聞かせてくれた曾祖母(ひいおばあちゃん)。
世のために人をなおす医者になりたいと言っていた私を、曾祖母はとてもかわいがってくれた。
その曾祖母が93歳で寝たきりになってから半年間、一生懸命に面倒を見た両親と兄弟たち。
その曾祖母は、家の畳の上で、家族や親戚たちに看取られながら、私に手を握られて亡くなった。
こういうものがあったから、私はそれに応える必要があった。
私の開業した故郷は、医療機関がなく、バスなどの公共の交通手段も絶たれていた。遠くまで車で走らないと治療ができなかった。交通手段のないこの地区の高齢者が歩いて通院するのにも、片道1時間以上がかかった。ついつい病気は手遅れになり、生活習慣病の治療はとぎれがちになった。
町で一番、女性の寿命が短い地域だった。私はそんな悲哀を目の当たりにしながら育った。
だから、栃木の無医村などに病院を建てても患者さんなど来ませんよ、数ヶ月で潰れます、と周りの医師やコンサルタントに言われてもこの故郷にしっかりとしたクリニックを建てる必要があった。
そして、その志を「意気に感じ」てくださった患者さんもたくさんいらっしゃった。
私がこの地に開業してから3年が経過した。
今や、遠くは神奈川、東京、千葉、群馬、茨城、埼玉、秋田、新潟から胃カメラや大腸カメラを受けに来ていただけるクリニックとなった。毎日遠くから毎日100名以上の患者さんがいらっしゃる。
これも、私の精神性を感じ取り、共感し、支持しようとしてくださった、私の患者さんの愛情や真心のたまものだと思い、こころから感謝している。よき理解者である皆様に感謝しつつ、さらに良質の医療を提供できるように日々研鑽しスタッフ一同、励まなくてはならない。
院長となった今、学会や研究会には、以前よりも頻回に参加している。東京で行われたノーベル賞受賞学者・マーシャル教授(ピロリ菌発見者)の講演会を始め、学会には積極的に参加して常に刺激を受け、新しい医療を取り入れて地域に医学の進歩を還元していくように努力している。
医学書も以前の倍、読むようになった。田舎に住んでいてもインターネットで必要な本は1-2日で届く便利な時代なのである。
医学的な仕事に関しては、狭い「病院」という枠(わく)がなくなったことで、かえってより広い地域にお住まいの患者さんとご縁が持て、より多くの幅広い患者さんの治療ができるようになった。自分の技術と信念を広く世にふるうことができることは
医師冥利に尽きる。
自治医科大学大学院で博士号をいただいた分子生物学から得た考察や、海外の国際学会での経験ですら、地域に還元している自負がある。自治医科大学での研究生活は医師として大切なスキルや感性も与えてくれた。
開院してから、大腸癌、胃癌、膵臓癌、肝臓癌、胆管癌、胆嚢癌、肺癌、尿管癌、乳癌、脳腫瘍などの多くの悪性疾患を診断することができた。2センチまでの大腸癌や大腸ポリープは、毎日、内視鏡的にクリニック内で切除している。
何人もの方が、インターフェロン治療でC型肝炎やB型肝炎が治癒したし、顆粒球除去療法(GCAP)球という最先端の透析治療にて潰瘍性大腸炎が緩解した(当治療を行っているクリニックは県内で当院を含めて3施設のみ)。
糖尿病、高血圧、高脂血症などの慢性疾患を良好なコントロールに保つことはもとより、急性動脈閉塞症、糖尿病性ケトアシドーシス、肺梗塞、完全房室ブロック、心不全、憩室炎、虫垂炎、脳梗塞、ショック、呼吸不全、横紋筋融解症などの急性疾患の診断・治療にも力を尽くしてきた。
急性疾患の正確な診断に関しては、私が自治医科大学と東京虎の門病院にて救急部を含む内科全科を研修し、多くの症例を経験できたこと、院内で緊急採血結果が数分で出る設備や腹部エコー、心臓エコー、透視施設などの充実した設備も大きく寄与している。
優秀かつ患者さん思いのスタッフにも恵まれ、スタッフ全員が共通の価値観と目標を持って努力し、これまで発展することができた。 2007年1月には、医療法人として新たに出発し、この地域により安定した医療サーヴィスを提供できる体制となった。
赤ん坊だったころ、私を抱いてあやしてくれた故郷の人々の胃癌や大腸癌をたくさん早期に見つけて救命できた。
私は幸せだ。
人間はどこに還る(かえる)のかがとても大切だし、人間には還る場所が必要なのである。
今まで学んできた技術と知識を、愛する故郷の人々に生かすことができる私は、本当に幸せな男だと思う。
医療水準の地域格差が拡大していることが問題となっている。
医師を地域に戻すにはどうしたらいいのか、さまざまな場所で議論されている。
給与を上げたらいい、とか宿舎を豪華にしよう、といった議論である。
しかし、私はそんな論調は間違っていると思う。
なぜなら、医師は目先の利益だけを望んではいないからである。
仕事を通してやりがいが得られ、愛する患者さんに必要とされ感謝されるよろこびを望んでいるのだと思う。
大部分の医師は、患者さんのためを心から思い、高い志を支えに厳しい勤務を働いてきているのである。
そして、その患者さんが、幼い頃からその喜びも悲しみも共にしてきた故郷の人ならば最高の人生と言える。
地域に医師を取り戻すのに必要なことは、かつての日本の田舎がそうであったように、愛情をもって子どもを地域全員で育て、「徳」「孝」「義」を教える徳育を行い、自分の故郷や周囲の人々に対する愛情を育てることである。
そうやって育った子どもは、きっと医師になったら、自分の故郷のためにひと肌脱ごう、という志を持って必ず地域に戻ってくるのだと思う。一朝一夕には難しく、時間のかかることだが、地域人間社会を再生することなく地域の問題は解決できないことのように思う。
逆に言えば、私を故郷に再び連れてきてくれたのは、私を育んでくれた素晴らしい地域の人たちだったのだ。
わずかでも毎日食べるものがあり、華美にならず、質素をむねとし、愛すべき患者さんを一生懸命に診察して治療し、
常に勉強しながら、信念に基づいて人生が送れれば、もうそれで私の人生の目標に到達したと考えてもいい。これこそが心安らかなる暮らしだと私は思っている。
当院が開院となり、毎日多い時には200名の患者さんが通院するようになると、小野寺も大きく開けた。
以前には、曲がりくねった細い道があるだけだったが、多くの人が通るようになり、道は大きく拡張され、まっすぐで広い道路ができ、今までなかったところに信号もできた。
今まで存在しなかったバスの定期運行便が、江田クリニックを終点として通るようになった。
自分の夢を他人に押しつけるつもりはない。「余計なお世話だ、俺のことなど放っておいてくれ」という人もいるだろう。全員に感謝されることなどありえない。
しかし、「誰かのために」、そう願って一心不乱に何かをする、それが青春というものではないだろうか。
誰かに強制された訳ではない。自分がしたかった夢を叶えただけだ。
そして、その夢をみんなが力を合わせて実現させてくれた。
もっと安易な道はあったかもしれない。
しかし、そういう道を選んだからといって、私は幸福だっただろうか。
いや、そんなことはない。
この困難こそが、私に情熱を教えてくれたのだ。
開業時は毎日が嵐のような忙しい日々だった。
開院して数ヶ月たったある晴れた日、私は小高い丘を登り、墓参りをした。
そして、先祖代々の墓石を抱きしめて言った。
「おばあちゃん、あなたのおかげで戻りましたよ。ありがとう、おばあちゃん」。
江田 証
医学博士。
自治医科大学大学院卒業。
米国消化器病学会国際会員。
日本ヘリコバクター学会認定ピロリ菌感染症認定医。
日本内科学会認定医。日本消化器病学会専門医。
日本消化器内視鏡学会専門医。日本医師会産業医。
日本消化器病学会奨励賞、自治医科大学研究奨励賞、
ヨーロッパ消化器病学会ベストアブストラクト賞などの賞を受賞。
米国消化器病学会、ボストンペプチド学会、欧州消化器病学会などの海外で行われた国際学会にて
これまで7回の学会発表をこなす。自治医科大学消化器内科助手、宇都宮社会保険病院内科医長、
東京虎の門病院内科レジデント、下都賀総合病院臨床指導医を経て、愛する故郷に江田クリニックを開院。

米国消化器病学会(AGA;American Gastroenterological Association)国際会員( International Member)
【米国での講演を行い、かつ英文医学論文を数本発表し、その業績の厳しい審査の上、はじめて米国消化器病学会国際会員に認定されます】。
日本消化器病学会認定専門医。
日本消化器内視鏡学会認定内視鏡専門医。
日本ヘリコバクター学会 H.pylori(ピロリ菌)感染症認定医

日本抗加齢医学会専門医。
2002年 自治医科大学研究奨励賞受賞。
2003年 スペインで開催されたヨーロッパ消化器病学会にてBestAbstract Award 受賞(欧州消化器病学会)
2004年 日本消化器病学会奨励賞受賞 (日本消化器病学会)

自治医科大学と虎の門病院にて救急部を含む内科全科を研修後、自治医科大学消化器内科に入局。自治医科大学消化器内科助手、宇都宮社会保険病院内科医長、下都賀総合病院消化器科臨床指導医を経て現職。 日本消化器病学会総会等の学会、 シンポジウムにて現在まで25回の講演。これまで米国消化器病学会(AGA;AmericanGastroenterologicalAssociation)にて5回(サンフランシスコ、アトランタ等)、 ヨーロッパ消化器病学会(UEGW;United
European Gastroenterology Week)、 アメリカボストンペプチド学会(International Symposium
on Regulatory Peptides)にて2回の研究発表。
日本ヘリコバクター(ピロリ菌)学会認定医。
自治医科大学附属病院地域連携協力施設。
現在、ふるさとの母校、小野寺北小学校の校医。

![]()
私の消化器病に関する論文が、平成16年4月21日日本消化器病学会奨励賞を受賞し、仙台で行われた日本消化器病学会総会、評議委員会の壇上で表彰されました。http://www.jsge.or.jp/member/oshirase/syourei.html
この賞は毎年全国で数名の消化器専門医が表彰されるもので、工藤正俊教授や、田中雅夫教授なども受賞している由緒ある賞です。逆流性食道炎や慢性胃炎の進展にCDX遺伝子が関与していることを世界で初めて報告した業績を、歴史ある日本消化器病学会の評議委員の先生方が評価して下さり、さらなる消化器治療の発展を期待して下さったためと思われます。愛する本国の皆様の疾患の早期発見、早期治療にお役に立てるよう、たゆまぬ研鑽を続けてゆきたいと思っております。
日本消化器病学会

2004年4月、仙台で行われた日本消化器病学会総会、評議委員会の壇上で「日本消化器病学会奨励賞」を受賞いたしました。この賞は毎年全国で数名の消化器専門医が表彰されるもので、工藤正俊教授や、田中雅夫教授なども受賞している由緒ある賞です。こういった医学の進歩を本国に還元し、胃腸疾患を少しでも減らすのが私のライフワークです。胃腸が心配な方は、おそれないで、内視鏡検査を受け、早めに病気を発見し、治療しましょう。
米国消化器病学会
米国消化器病学会アメリカ消化器病関連週間(USA-DDW)のアメリカ消化器病学会総会(
AGA)において発表を行い、日本から発信する先端医療の実践と普及に努めております。この学会は、世界最大、かつ最高のレベルを保つ学会です。米国の医学研究者は、本学会で発表するために日々研究に追われているという学会で、世界中から何千という医学徒が集結し、明日の医学の進歩のために交流を深めるのです。(左;サンフランシスコ・右;アトランタ。カリフォルニア大学医学部教授と。内視鏡などの日常診療をしながら、演題採択率が3割を切るといわれる米国消化器病学会にて、
2003年は、1回に3演題を発表して参りました。)
こういった知識を背景に内視鏡検査を行っています。現在、潰瘍や癌があるかないか、のぞいて見てくるだけが内視鏡ではありません。患者さんの未来の胃の状態を予測したり、遺伝子的背景まで考えて、胃、大腸カメラをしています。
2003年:スペインで開催されたヨーロッパ消化器病学会にてBest Abstract Award, EURO1000受賞 (欧州消化器病学会)
「スペインにかかる虹」
ヨーロッパ消化器病学会から旅費つきで招待され、スペインを訪れました。学会発表を終え、中世の姿をそのまま残すトレドの町並みを一人で歩きました。古城からの帰り、急にスコールが降り、広大なオリーブ畑に雨が降りそそぎました。まもなく上がった雨のあと、雲の切れめからぱあっと柔らかな日がさして、荒涼とした大地に美しい虹がかかりました。私は、まだ見たことのない空や、新しいものを求めて生きてきたけれども、このスペインの虹のかかった美しい空と、江田クリニックのある故郷の空とはつながっており、私が生きるべき道は、私を形作ってくれたなつかしい故郷に帰り、地域医療に尽くす初心を果たすことなのだと強く感得しました。「青春の夢に忠実であれ」とはシラーの言葉ですが、地域に根ざし、今まで学んできた知識や経験を目の前の患者さんの診療に生かす努力をし、同時に新しい医学の進歩を還元する努力もして行きたいと思っています。どうぞよろしくお願いいたします。
世界の研究者との交流
同じ真理を求めて、交流する者達

ハーバード大学研究員と
世界中の医師が、未知の答えを求めて議論しあいます。初めて参加した時、広い世界というものを感じた気がしました。「どうしたら病気を克服できるか」という共通の医学的真理を求めて、出身国の壁もなく、「ここはどう思うか」、「どうしたら疑問を解明できるか」、などと英語で議論し合う、その美しさ、潔さに、深く多くのことを感じました。その議論の中では、海外の研究員より私のほうが早くその真実を発見し論文にしていることを相手が知り、げんなりする場面や、その逆もあります。自分が頭をひねって書いた英文論文が、世界の人に読まれ、研究に影響を与え、また次の研究の足がかりになっているのを見るのは、とても充実感を感じるものです。非常に刺激的なことが多かった経験でした。世界というもの、学問の真理を追究するその美しさを感じました。
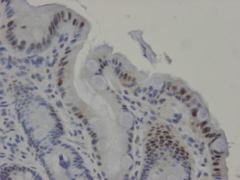
世界初の報告

世界初、私が米国で報告したバレット食道におけるCDX2の免疫染色写真(逆流性食道炎が長くつづくとバレット食道になります)
私は、「逆流性食道炎が長い期間治療されずに続くと、バレット上皮という上皮が出現してきて、これが食道の腺がんの発生母地になる。このバレット上皮の出現にはCDX2遺伝子が大きく関与する」ということを米国消化器病学会で発表しました。
この私の発表をもとに、フランスの医師、Marta Marchetti らが、「Chronic acid exposure leads to activation of the cdx2 intestinal homeobox gene in a long-term culture of mouse esophageal keratinocytes 」という論文を書いて、細胞レベルで確認してくれました。
このような世界レベルでの交流というものは、実にエキサイティングなものです。
1. 原著論文
・江田証、長谷川剛、奈良浩介、土屋一成、安田是和、鈴木正之:
ENBDと超音波ガイド下ドレナージにて治癒した外傷性肝内胆管損傷.
日本救急医学会関東地方会雑誌、1998;19:458-9.
・ Eda A, Yanaka I, Tamada K, Wada S, Tomiyama T, Sugano K.
Sulindac-associated choledocholithiasis. Am J Gastroenterol. 2001 Jul;96(7):2283-5.
・ Eda A, Osawa H, Yanaka I, Satoh K, Mutoh H, Kihira K, Sugano K.
Expression of homeobox gene CDX2 precedes that of CDX1 during the progression
of intestinal metaplasia. J. Gastroenterol.2002;37:94-100.
・江田 証、腸上皮化生の遺伝子異常(平成14年1月10日申請; 甲種 医学博士論文)
・ Satoh K, Mutoh H, Eda A, Yanaka I, Osawa H, Honda S, et al.
Aberrant expression of CDX2 in the gastric mucosa with and without intestinal
metaplasia: Effect of eradication of Helicobacter pylori. Helicobacter
2002;7(3):192-8.
・ Mutoh H, Hakamata Y, Satoh K, Eda A, Yanaka I, Honda S, et al.
Conversion of gastric mucosa to intestinal metaplasia in Cdx2-expressing
transgenic mice. Biochem Biophys Res Commun. 2002;294(2):470-9.
・Eda A, Osawa H, Satoh K, Yanaka I, Kihira K, Ishino Y, et al.
Aberrant expression of CDX2 in Barrett's epithelium and inflammatory esophageal
mucosa. J. Gastroenterol 38: 14-22, 2003
2. 学会発表 (国内外)
・ 江田証、長谷川剛、奈良浩介、土屋一成、安田是和、鈴川正之。
ENBDと超音波ガイド下ドレナージにて治癒した外傷性肝内胆管損傷。
第45回日本救急医学会関東地方会、平成10年6月27日、茨城。
・ 江田証、宮田幸雄、武藤重明、池田裕美、江幡理、草野英二、浅野泰、斉藤建。
腸リンパ管拡張症を呈した蛋白漏出性胃腸症の一例。平成10年10月3日、東京。
・ 江田証、玉田喜一、冨山剛、和田伸一、佐藤幸浩、菅野健太郎、兵頭秀樹、深山正久。
MRCPにてprospectiveに診断しえた膵・胆管合流異常症の一例。
第252回日本消化器病学会関東支部例会、平成10年12月12日、神奈川。
・ 江田証、玉田喜一、冨山剛、和田伸一、菅野健太郎。
内視鏡的バルーン拡張術(EBS)にて治癒したSulindac (Clinoril R)により形成された総胆管結石の一例。 第68回日本消化器内視鏡学会関東地方会、平成11年6月11日、東京。
・ 江田証、玉田喜一、冨山剛、和田伸一、佐藤幸浩、大橋明、宮田隆光、菅野健太郎。
膵・胆管合流異常症における胆嚢壁の超音波像についての検討。
第7回日本消化器関連学会週間(DDW-Japan)、平成11年10月30日、広島。
・江田証、大澤博之、谷仲一郎、佐藤貴一、木平健、菅野健太郎: Expression of home box gene CDX1 and CDX2
during the transition from atrophic gastritis to intestinal metaplasia.
第12回消化管細胞機能研究会、平成13年2月4日、静岡。
・(海外) Akashi Eda, Hiroyuki Mutoh, Ichiro Yanaka, Hiroyuki Osawa, Kentaro
Sugano. Expression of CDX2 precedes CDX1 during the transition from atrophic
gastritis to intestinal metaplasia. Digestive disease week, Atlanta, Georgia,
Georgia World Congress Center, May 21, 2001. Gastroenterology 2001;120(Suppl
1):A-241.
・江田証、武藤弘行、大澤博之、谷仲一郎、菅野健太郎。
Expression of homeobox gene CDX1 and CDX2 in atrophic gastritis and intestinal
metaplasia.
第87回日本消化器病学会総会、東京、平成13年4月18日、東京。日消誌 98(Suppl):A139,2001 。
・江田証、大澤博之、谷仲一郎、石野祐三子、木平健、佐藤貴一、寺内紫、武藤弘行、菅野健太郎。
Abberrant CDX2 expression precedes CDX1 during theprogression of Barrett’s
esophagus.
第43回日本消化器病学会大会、平成13年10月17日、京都。日消誌 98(Suppl):A454,2001。
・江田証。(シンポジウム)逆流性食道炎、バレット食道の進展における転写因子CDX1,CDX2の発現。第3回北関東・甲信越「GUTフォーラム」、平成13年10月27日、東京。
・江田証。逆流性食道炎、バレット食道の進展における転写因子CDX1,CDX2の発現。
GERD研究会第6回学術集会、平成13年11月17日、東京。
・(海外) Akashi Eda, Kiichi Satoh, Ichiro Yanaka, Hiroyuki Osawa, Kentaro
Sugano. Comparative Study of Homeobox Gene Expression, in the Inflammatory
Esophageal Mucosa and Barrett’s Esophagus. Digestive disease week, San
Francisco, CA, May 19-22, 2002.
・(海外) Akashi Eda, Hiroyuki Osawa, Ichiro Yanaka, Kentaro Sugano. Aberrant
Methylation of the CDX1 CpG Island in Gastric Cancer Cell Lines. Digestive
disease week,
San Francisco, CA, May 19-22, 2002.
・(海外) Akashi Eda, Hiroyuki Mano, Shuichi Ueno, Hiroyuki Osawa, IchiroYanaka,
Kentaro Sugano.
Alterations in Whole Coding Region (Exons 2-11) of the p53 Gene in Gastric
Intestinal Metaplasia Detected by GeneChip p53 Assay. Digestive disease
week,
San Francisco, CA, May 19-22, 2002.
・江田証、佐藤貴一、大澤博之、谷仲一郎、菅野健太郎。
During the progressionfrom GERD to Barrett’s esophagus, CDX2 protein shifts
from cytoplasm tonucleus. 第44回日本消化器病学会大会、平成14年4月17日、旭川。
・江田証、間野博之、上野修市、大澤博之、谷仲一郎、菅野健太郎。
Alterations in Whole Coding Region (Exons 2-11) of the p53 Gene in Gastric
Intestinal Metaplasia Detected by GeneChip p53 Assay.
第44回日本消化器病学会大会、平成14年4月17日、旭川。
・ 江田証、大澤博之、谷仲一郎、菅野健太郎。
p53 GeneChip assayを用いた, 胃腺腫におけるp53遺伝子変異の検討。第44回日本消化器病学会大会、平成14年10月17日、横浜。
・(海外) Akashi Eda, Hiroyuki Mano, Shuichi Ueno, Hiroyuki Osawa, Ichiro Yanaka,
Kentaro Sugano.
Alterations in Whole Coding Region (Exons 2-11) of the p53 Gene in Gastric
Intestinal Metaplasia Detected by GeneChip p53 Assay. Regulatory Peptides
2002, Boston, Massachusetts, August 31-September 3,2002.
・江田証、昌子正實、武田茂幸、中野秀聡、相澤俊幸、小林裕子、菅野健太郎
腸管出血性大腸菌0-157集団食中毒の治療経験。第89回日本消化器病学会総会、
さいたま、2003年4月24日(日消誌100 (臨増):A278, 2003)
・ 江田証、大澤博之、谷仲一郎、大島理香子、相澤俊幸、小林裕子、中野秀聡、大竹俊哉、中澤克行、 石野祐三子、木平健、吉澤充代、 久野亜希子、菅野健太郎
CDX1 CpG islandのメチル化の解析。 第89回日本消化器病学会総会、さいたま、2003年4月24日(日消誌100 (臨増):A170,
2003)
・(海外) Akashi Eda, Hiroyuki Mano, Shuichi Ueno, Hiroyuki Osawa, IchiroYanaka,
Kentaro Sugano.
ALTERATIONS IN WHOLE CODING REGION (EXONS 2-11) OF THE P53 GENE IN GASTRIC
ADENOMAS DETECTED BY GENECHIP P53 ASSAY. 11TH UEGW(United European Gastroenterology
Week) Madrid, Spain, November 1-5, 2003.
2013年8月7日
テレビ朝日「ワイドスクランブル」の「人間一滴」に江田クリニック院長が出演しました。 動画はこちら
「林修の今でしょ!講座 林修とスーパードクター」(テレビ朝日)
「林修の今でしょ!講座」(テレビ朝日)
「主治医が見つかる診療所」(テレビ東京)1回目の出演
「教えて!ドクター 家族の健康」(BSフジ)
2015年5月26日
院長の新刊が出版されます。
2013月6月25日
院長の本が幻冬舎から発売になります。
2013年4月22日
週刊現代の「これが遺伝する病気です」で院長が取材を受け掲載されました。
2013年4月1日
日経ビジネス誌に院長のコラムが掲載されました。
2013年1月7日
TBSテレビ「ひるおび!」で紹介されました。
2013年1月6日
日経新聞全国版に掲載されました。
2012年8月25日 土曜日
10:45~11:45
フジテレビの全国放送【名医が解決!人間ドックTV】に出演しました。
2011年11月20日 日曜日
13:00~14:00
フジテレビ「名医と巡る!体がヨクナール学園4 秋の四国旅in高知」に院長出演しました。
2011年9月10日 土曜日10:30~11:25
フジテレビ「名医と巡る!夏の金沢・食べ尽くし旅」に院長が出演しました。
2011年2月26日 土曜日10:40~11:40

フジテレビ「名医と巡る!冬の山陰・食べ尽くし旅」に院長が出演しました。
2010年8月21日 土曜日10:40~11:40

フジテレビ「名医と巡る!夏の東北・食べ尽くし旅」に院長が出演しました。
2010年11月7日
栃木市皆川地区にて院長江田証の健康講演会を行いました。
2010年10月25日
日経ビジネス「熱血Dr.の診療日誌 禁煙外来 禁煙で寿命を取り戻す」に江田クリニックのホームページが紹介されました。
2010年10月1日
インフルエンザ予防接種
2010年8月2日発売
暮らしと健康 09月号
江田クリニック院長が、名門医療全国誌「暮らしと健康」で健康について解説します。

暮しと健康 2010年 09月号 [雑誌]
2009年3月14日 10時30分~11時25分
日本テレビ 全国放送
名医に学ぶ!激うま健康レストランに院長が出演しました。
2010年7月16日
旅行専門誌に院長コラムが掲載されました。
2009年9月27日日曜日
14時~15時25分
テレビ朝日「カラダが喜ぶ!究極ごはん!」にスタジオゲスト出演しました。

こちらをクリックすると新しいウインドウが開いて動画が再生します。(13分44秒)
2010年5月3日
江田クリニック 院長 江田 証がラジオ日本の対談番組にゲスト出演しました。

こちらをクリックすると新しいウインドウが開いて再生します。(15分41秒)
「こんにちは!鶴蒔靖夫です」は、ラジオ日本(AM 1422 kHzで放送中!放送日は、5月3日(月)午前11時30分~50分です。
医学専門誌「Medical Tribune」にて抗生物質の使い方を解説しました

2009年10月28日
今年新設された認定医制度 第1回日本ヘリコバクター学会「H.pylori(ピロリ菌)感染症認定医」に認定されました。
![]()
H.pylori(ピロリ菌)感染症認定医 施設一覧
33万人の読者を持つ
日経ビジネス誌に
院長の医療コラム
「熱血Dr.の診療日誌」
連載中!
2008年12月3日
TBSテレビ「ピンポン」にて「そけいヘルニア」 について解説しました。
2008年11月9日放送
テレビ朝日

医療スペシャル
~面と向かって聞けない噂のクエスチョン「お医者さん編」~テレビ朝日「大胆マップ」にスタジオ・ゲスト出演しました。】

詳細はこちら←
2008.10.10
院長がTBSテレビ「ピンポン」で登場しました。

2008.9.22
院長がTBSテレビ「ピンポン」で登場しました。

いきいき健康法
2008年秋号に院長コラムが掲載されました。

2008.9.10
テレビ朝日「クイズ雑学王」2時間スペシャルに院長が出演しました。

2008.7.18
下野新聞 読者登壇に掲載されました。
2008.6.11
読売新聞に掲載されました。
2008.5.29
下野新聞に掲載されました。
「いきいき誌 60歳からの健康法」に掲載されました。
いきいき健康法2008年春号に院長コラムが掲載されました。

栃木県の肝炎インターフェロン治療専門医療機関に認定されました。当院ではインターフェロン治療費の一部が助成されます。
2008年12月18日
クリスマス・ジャズ・コンサート開催しました。
↑ブログをigoogleに追加する
医療法人 社団 信証会 江田クリニック
栃木県栃木市岩舟町小野寺 2575-7
電話 0282-57-1234 FAX 0282-57-1235
Copyright 2006 by AKASHI EDA & EDA CLINIC .All Rights Reserved.www.edaclinic.com